常有患者问:医生,我嘴巴头长了些白斑斑,又粗又硬,网上说这个可能是癌变,我是不是得癌症了哟?
其实这种白斑斑不是癌,可能是一种叫口腔白斑的病。那么什么是口腔白斑了?下面我们就为你一一道来。

什么是口腔白斑?
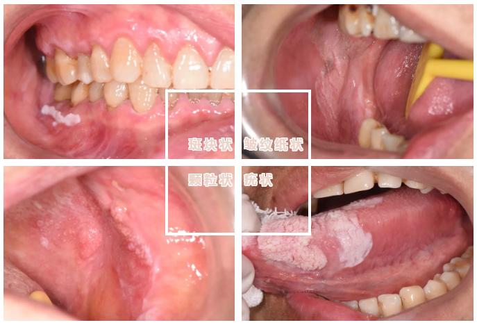
口腔白斑,又称口腔黏膜白斑病,是指发生在口腔黏膜上的白色或灰白色病损,可呈斑块状,或表面粗糙呈皱纹纸状,或表面稍突起呈颗粒状,出现增生时可高于黏膜表面呈刺状、绒毛状,形成糜烂和溃疡时也可稍凹于黏膜表面,大多边界清楚,触之质软,不能擦去。患者不用过度担心,口腔白斑不是癌,它是一种口腔潜在恶性病变。口腔白斑好发于40岁以上的男性,但近年来,随着社会环境的改变,女性患者出现了增多的趋势。

口腔白斑的发生多与以下因素有关:
口腔白斑的发生一般与长期吸烟、饮酒以及口内有局部刺激;真菌、病毒感染;遗传等因素有关。
1、化学刺激:长期吸烟、饮酒、嚼槟榔均可导致口腔白斑发生,香烟品种、吸烟方法和烟草质量都有影响;乙醇是口腔白斑病发生的独立危险因素;
2、口内局部物理刺激:咬颊习惯、牙齿的锐尖、残冠残根、牙结石等;
3、念珠菌感染:此类口腔白斑病多发于口角内侧三角区,这类白斑癌变的可能性较大;
4、人乳头瘤状病毒(HPV)感染:HPV感染可能是口腔白斑病癌变的危险因素;
5、全身因素:微量元素、脂溶性维生素缺乏,如锰(Mn)、锶(Sr)、钙(Ca)不足,维生素A和维生素E缺乏都可能导致白斑发生;
6、遗传因素:导致在较弱的刺激下患口腔白斑病。

得了口腔白斑是不是等于得了癌症?
重申强调一下,口腔白斑病本身不是癌症,它是一种口腔潜在恶性病变,具有一定的癌变风险。患了口腔白斑并不等同于患了癌症。医学研究显示,口腔白斑恶性病变的风险在不同人群中不等,约0.13%-34%不等。
哪些情况下口腔白斑癌变风险较高?
1、 白斑类型:非均质型(颗粒状、疣状),溃疡糜烂型;伴念珠菌或HPV感染;伴上皮异常增生,程度越重者癌变风险越高。
2、 白斑部位:白斑位于舌缘、舌腹、口底以及口角。
3、 患病时间:患病时间长,口腔白斑恶性病变的可能性越大。
4、 患者性别:女性,尤其是不吸烟的女性。
5、 白斑面积:白斑病损面积大于2cm²。

得口腔白斑应该怎么办?
1、 早发现早就医:正确认知疾病,发现后应尽早到医院就诊,不能掉以轻心;
2、 早诊断早治疗:通过医生检查明确诊断,了解自己的病情,积极治疗疾病;
3、 遵医嘱:遵照医嘱进行治疗,不盲目治疗,并坚持定期复查。
口腔白斑治疗过程中需要注意什么?
1、 保持良好心情:保持积极乐观心态,避免焦虑、抑郁以及恐癌心理;
2、改掉不良习惯:戒烟酒、洁牙、少食刺激性食物,养成健康生活习惯;
3、科学认知疾病:如出现疼痛不适、面积扩大等情况就需要及时就诊。
温馨提示:对于口腔内出现的白色病损,不能简单通过网络搜索来判断自己的病情。应尽早就医,并采取有效的措施以控制病情。当确诊为口腔白斑病时要避免恐癌心理,遵医嘱治疗,戒除不良习惯,保持良好的口腔卫生,坚持定期复查。

成都平安医院(原四川省红十字肿瘤医院)系国家二级甲等综合医院,省、市医保和保险行业定点医院,成都市优秀医院,坐落...【详细】





